| Kingdom: | Chromalveolata |
| Superphylum: | Alveolata |
| Phylum: | Apicomplexa |
| Class: | Aconoidasida |
| Order: | Haemosporida |
| Family: | Plasmodiidae |
| Genus: | Plasmodium |
| Species: | P. vivax |
Plasmodium vivax is a protozoal parasite and a human pathogen. The most frequent and widely distributed cause of recurring (Benign tertian) malaria, P. vivax is one of the four species of malarial parasite that commonly infect humans. It is less virulent than Plasmodium falciparum, which is the deadliest of the four, and is seldom fatal. P. vivax is carried by the female Anopheles mosquito, since it is the only sex of the species that bites.
Epidemiology
P. vivax is found mainly in the United States, Latin America, and in some parts of Africa. P. vivax can cause death due to splenomegaly (a pathologically enlarged spleen), but more often it causes debilitating – but non-fatal – symptoms.[1][2] Overall it accounts for 65% of malaria cases in Asia and South America.
Treatment
Chloroquine remains the treatment of choice for vivax malaria, except in Indonesia's Irian Jaya (Western New Guinea) region and the geographically contiguous Papua New Guinea, where chloroquine resistance is common (up to 20% resistance). Chloroquine resistance is an increasing problem in other parts of the world, such as Korea,India.
When chloroquine resistance is common or when chloroquine is contraindicated, then artesunate is the drug of choice, except in the U.S., where it is not approved for use. Where an artemisinin-based combination therapy has been adopted as the first-line treatment for P. falciparum malaria, it may also be used for P. vivax malaria in combination with primaquine for radical cure. An exception is artesunate plus sulfadoxine-pyrimethamine (AS+SP), which is not effective against P. vivax in many places. Mefloquine is a good alternative and in some countries is more readily available.Atovaquone-proguanil is an effective alternative in patients unable to tolerate chloroquine. Quinine may be used to treat vivax malaria but is associated with inferior outcomes.
Thirty-two to 100% of patients will relapse following successful treatment of P. vivax infection if a radical cure (eradication of liver stages) is not given. Eradication of the liver stages is achieved by giving primaquine, after checking the patients G6PD status to reduce the risk of haemolysis. However, in severe G6PD deficiency, primaquine is contraindicated and should not be used.Recently, this point has taken particular importance for the increased incidence of vivax malaria among travelers. At least a 14-day course of primaquine is required for the radical treatment of P. vivax.
Life cycle
The incubation period for the infection usually ranges from ten to seventeen days and sometimes up to a year. Persistent liver stages allow relapse up to five years after elimination of red blood cell stages and clinical cure.
Human infection
The infection of Plasmodium vivax takes place in human when an infected female anopheles mosquito sucks blood from a healthy person. During feeding, the mosquito injects sporozoites to prevent blood clotting and saliva, thousands of sporozoites are inoculated into human blood; within a half-hour the sporozoites reach the liver. There they enter hepatic cells, transform into the tropozoite form and feed on hepatic cells, and reproduce asexually. This process gives rise to thousands of merozoites (plasmodium daughter cells) in the circulatory system and the liver.
Liver stage
The P. vivax sporozoite enters a hepatocyte and begins its exoerythrocytic schizogony stage. This is characterized by multiple rounds of nuclear division without cellular segmentation. After a certain number of nuclear divisions, the parasite cell will segment and merozoites are formed.
There are situations where some of the sporozoites do not immediately start to grow and divide after entering the hepatocyte, but remain in a dormant, hypnozoite stage for weeks or months. The duration of latency is variable from one hypnozoite to another and the factors that will eventually trigger growth are not known; this explains how a single infection can be responsible for a series of waves of parasitaemia or "relapses". Different strains of P. vivax have their own characteristic relapse pattern and timing. The earlier stage is exo-erythrocytic generation.
P. vivax preferentially penetrates young red blood cells (reticulocytes). In order to achieve this, merozoites have two proteins at their apical pole (PvRBP-1 and PvRBP-2). The parasite uses the Duffy blood group antigens (Fy6) to penetrate red blood cells. This antigen does not occur in the majority of humans in West Africa [phenotype Fy (a-b-)]. As a result P. vivax occurs less frequently in West Africa.[19]
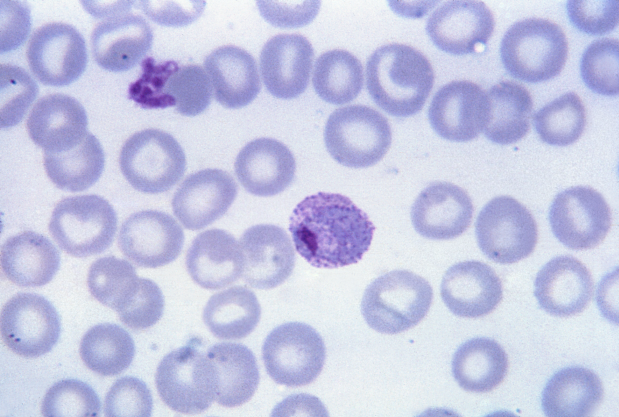
The parasitised red blood cell is up to twice as large as a normal red cell and Schüffner's dots (also known as Schüffner's stippling or Schüffner's granules) is seen on the infected cell's surface, the spotted appearance of which varies in color from light pink, to red, to red-yellow, as coloured with Romanovsky stains. The parasite within it is often wildly irregular in shape (described as "amoeboid"). Schizonts of P. vivax have up to twenty merozoites within them. It is rare to see cells with more than one parasite within them. Merozoites will only attach to immature blood cell (reticulocytes) and therefore it is unusual to see more than 3% of all circulating erythrocytes parasited
Sexual stage
The sexual stage includes following processes by which P. vivax reproduces sexually:
- Transfer to mosquito
- Gametogenesis
- Microgametes
- Macrogametes
- Fertilization
- Ookinite
- Oocyst
- Sporogony







1 komentar:
For years, I have read and seen the advertisements in the mass media about all of the penis enhancement pills and thought that they were all scams or gimmicks. All of the medical sites that I have visited stated that none of the herbal supplements would ever help increase the size of a penis. I got very depressed when I read this, because unfortunately I was not naturally blessed with a penis that was big enough to arouse my sexual partner or past partners. I am a man that is past my sexual prime time and my sexual performance has a lot to be desired. I decided to try Doctor Akhigbe herbal medicine after all the reading and researching that I have done.I saw a testimony " Joe" about doctor Akhigbe Herbal Medicine Since there is a Money Back Guarantee, I give him a trial what did I have to lose? I couldn't believe the results I was seeing after drinking the Natural Herbal Medicine and Herbal Soap to be Rubin my penis! he sent to me through DHL courier delivery service . Within about 2 weeks I had a noticeable increase in the girth of my penis. Then after a couple of additional week it started to grow in length and I was amazed and very excited.before I finish the drink and the soap my penis had grown an additional two inches. I've had a considerable improvement with my sex life and these pills are certainly worth every penny I spent on them! I want to thank Dr Akhigbe for the time and effort they have spent on helping people in my situation.I know many are out there who are suffering this problem and they need help, email him. drrealakhigbe@gmail.com. He also cure other diseases like: Painful or Irregular Menstruation. HIV/Aids. Breast Enlargement. Diabetics. Vaginal Infections. Vaginal Discharge. Itching Of the Private Part. Breast Infection. Discharge from Breast. Breast Pain & Itching. Lower Abdominal Pain. No Periods or Periods Suddenly Stop. Women Sexual Problems. High Blood Pressure Chronic Disease. Pain during Sex inside the Pelvis. Pain during Urination. Pelvic Inflammatory Disease, (PID). Dripping Of Sperm from the Vagina As Well As for Low sperm count. Parkinson disease. Lupus. Cancer. Tuberculosis. Zero sperm count. Asthma. Quick Ejaculation. Corneal Ulcer, Gallstone, Terminal Illnesses, Premature Ejaculation. Herpes. Joint Pain. Stroke. Weak Erection. Erysipelas, Thyroid, Discharge from Penis. HPV. Impotence Effection, Hepatitis A and B. STD. Staphylococcus + Gonorrhea + Syphilis. Heart Disease. Pile-Hemorrhoid.rheumatism, thyroid, Autism, Penis enlargement, Waist & Back Pain. Male Infertility and Female Infertility. For your cure email him now: drrealakhigbe@gmail.com or Contact his number: +2349010754824.
Posting Komentar